- 八王子クリニック本院17時30分まで受付土日も042-643-3717
- 八王子クリニック新町17時30分まで受付土曜も042-643-1321

PLAN1
全身ドック
エグゼクティブコース 20%OFF
全身ドックの特徴
ドゥイブスと適切な検査
7種類の
|
FLAIR | T1 | 拡散強調 |
|
|
|
|
| 隠れ脳梗塞 | 硬膜下出血 | 脳梗塞 | |
| T2スター | T2 | 頭部MRA | 頚部MRA |
|
|
|
|
| 隠れ脳出血 | 脳腫瘍 | 脳動脈瘤 | 頚動脈狭窄 |
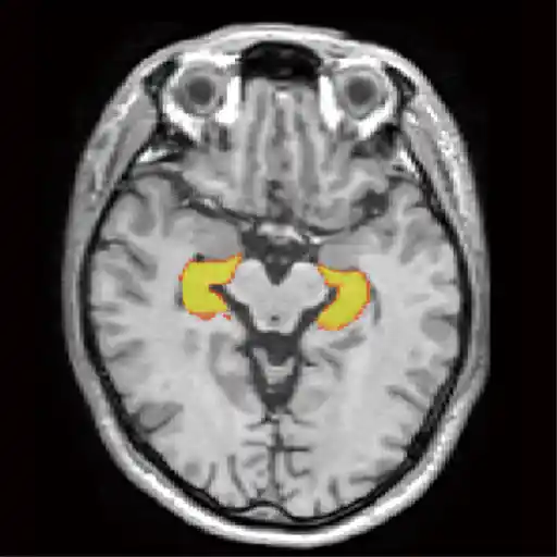
各脳の病気に適切な「7種類のMRI撮影方法」を行い脳の状態をより詳しく検査します。脳疾患の早期発見早期治療へと繋げます。
![]() |
![]() |
![]() |
心疾患(心筋梗塞)は日本人死因の第2位で、働き盛りの人の突然死で最も多く、その内3割は前兆もなく突然に発症しています。
冠動脈CT(マルチCT)で冠動脈の狭窄の状態を把握して心筋梗塞を予防します。
大腸3D-CT検査(バーチャル内視鏡)は実際に内視鏡を使わずに、大腸を検査することができます。
大腸内視鏡 と 大腸3D-CT の比較表
| 大腸内視鏡 | 大腸3D-CT | |
|---|---|---|
| 前日処置 | 検査食に切り替えて下剤内服 | 錠剤とシロップ内服 |
| 検査前処置 |
3時間かけて
下剤2ℓ内服 |
な し |
| 検査時間 | 30分 | 15分 |
|
ポリープ
検出 |
5ミリ未満も可能 | 5ミリ以上 |
|
ポリープ
切除 |
可 能 | 不 可 |
| 痛み、苦痛 |
あ り
(鎮静剤使用可) |
な し |
|
放射線
被ばく |
な し | あ り |
![]() |
![]() |
認知症はその前段階である「軽度認知障害(MCI)」を早期に発見することが重要です。血液検査(軽度認知症検査)とMRI画像(VSRAD、海馬の萎縮)を合わせ、MCIを早期に診断しアルツハイマー型認知症を予知・予防します。
脊椎(背骨)の病気は、二足歩行をする人類の宿命的な病気です。 加齢的な変化で頚部(首)や腰部(腰)に障害を起こし、老年期の生活の質を左右します。 腰痛症、頚椎症、椎間板ヘルニア、脊椎管狭窄症など種々の病気がありますが、 MRIによる詳細な検査で適切な脊椎疾患の予防管理ができます。
| 正常時頚椎とストレートネック |
|---|
|
| 72歳 男性 腰椎椎間板ヘルニア画像 |
|
エグゼクティブコース検査内容
【検査結果について担当医へのご質問や相談はメール・電話・LINEで承っております。まずはコールセンターまでお気軽にお問い合わせくださいませ。】
女性
¥536,800
(税込)
所要時間:6時間
男性
¥519,200
(税込)
所要時間:6時間
お申込み期間:2026年6月末日まで
PLAN2
がんドック
全身がんコース 15%OFF
全身と臓器別のがん検査
ドゥイブスと適切な検査
ドゥイブス(DWIBS)検査とは・・・
PET-CTのように、全身のがんを撮影する新しい検査法です。
MRIの高性能化によって可能となった「全身のがん検査」です。
同様の「全身のがん検査」を行うPET-CTと比較すると、 PET-CTは悪性腫瘍(がん)がエネルギー代謝(糖代謝)の高いことに着目し悪性腫瘍を検索するのに対し、DWIBSは悪性腫瘍が細胞密度の高い(細胞と細胞の間が狭い)ことに着目し細胞間の水の動きをもとに悪性腫瘍を検索します。
DWIBSとPET-CTの比較表
| DWIBS | PET-CT | |
|---|---|---|
| デバイス | MRI | CT |
| 被ばく | な し | 注射薬と放射線の2重被ばく |
| 注 射 | な し | あ り |
| 食事制限 | な し※ | あ り |
| 糖尿病 | 問題なし | 制限あり |
| 検査時間 | 約30分 | 3時間 |
| 検査後制限 | な し | 院内待機あり |
| 他検査と併用 | 可能 | 不可能 |
DWIBSとPET-CTのがん診断比較表
比較は当院での撮影に基づく
肺 が ん(がん死因1位)
3方向からの撮影で超早期(5mm以下)の病変を見逃しません。
| 48歳 男性 肺がん マルチスライスCT画像 | |
|---|---|
![]() |
|
![]() |
![]() |
大腸がん(がん死因2位)
眠ったままで検査。その場でポリープを切除できます。
大腸3D-CT検査(バーチャル内視鏡)
実際に内視鏡を使わずに、大腸を検査することができます。
| 大腸の3D-CT画像 |
|---|
大腸内視鏡と大腸3D-CTの比較表
| 大腸内視鏡 | 大腸3D-CT | |
|---|---|---|
| 前日処置 | 検査食に切り替えて下剤内服 | 錠剤とシロップ内服 |
| 検査前処置 | 3時間かけて 下剤2ℓ内服 |
な し |
| 検査時間 | 30分 | 15分 |
| ポリープ 検出 |
5ミリ未満も可能 | 5ミリ以上 |
| ポリープ 切除 |
可 能 | 不 可 |
| 痛み、苦痛 | あ り (鎮静剤使用可) |
な し |
| 放射線 被ばく |
な し | あ り |
すい臓がん(がん死因3位)
すい臓は腹部の奥(胃の裏側)にあるため、がんの早期発見が非常に難しい臓器です。
更に、胃がんや肺がん、大腸がんなどのような公的ながん検診がありません。
その理由はCTやMRIなどの先進医療機器でしか発見できないからです。
その結果がんの早期発見が難しいため、すい臓がんは死亡率が高く、5年生存率(※1)が著しく低いのです。
5年生存率:がんと診断された場合に治療でどのくらい生命を救えるかを示す指標の一つ。100%に近いほど治療で生命を救えるがん、0%に近いほど治療で生命を救い難いがんであることを意味します。
出典:国立がん研究センター がん情報サービス「5年生存率集計報告書」
胃 が ん(がん死因4位)
早期に発見すれば治癒率の高い病気です。
胃がんは年間約10万人が発症し、がん死因3位の病気です。40代以降で顕著に増加します。統計では死亡率は減少しています。その理由は胃内視鏡検査の普及が一番の理由です。胃がんは早期に発見できれば「治癒させることができる」病気ともいえるのです。
当院では経鼻内視鏡を導入。鼻腔からカメラを通すため、嘔吐反応(吐き気)が少なく苦痛が緩和されています。検査中は会話することも可能です。
近年の研究で胃がん発症の原因にピロリ菌感染が関係していることが解りました。同時にピロリ菌の検査も行います。
胃がんの早期発見のカギは
内視鏡検査とピロリ菌
全身がんコース検査内容
女性
¥336,600
(税込)
所要時間:3時間
男性
¥317,900
(税込)
所要時間:3時間
お申込み期間:2026年6月末日まで
※ドゥイブス+全身MRIコース(脳除く)に変更が可能です。追加料金¥63,800
※ご希望により大腸内視鏡検査も行っています。変更料金¥22,000(税込)
PLAN3
ドゥイブス+全身MRI(脳除く)
+
選べる検査コース

全身のがんスクリーニング検査に加えて「脳卒中」「肺がん」「乳がん」に特化した検査を合わせて実施します。
脳ドックコース
7種類のMRI撮影で隠れ脳梗塞や隠れ脳出血も発見!
7種類のMRI撮影方法を行ない、様々な脳疾患に適切な撮影を行ない詳しく検査します。脳動脈瘤、隠れ脳梗塞、隠れ脳出血、アルツハイマー病 、脳腫瘍などを早期発見し、早期治療へと繋げます。
7種類の |
FLAIR | T1 | 拡散強調 |
![]() |
![]() |
![]() |
|
| 隠れ脳梗塞 | 硬膜下出血 | 脳梗塞 | |
| T2スター | T2 | 頭部MRA | 頚部MRA |
![]() |
![]() |
![]() |
![]() |
| 隠れ脳出血 | 脳腫瘍 | 脳動脈瘤 | 頚動脈狭窄 |
検査内容
¥176,000(税込)
お申込み期間:2026年6月末日まで
肺がんCTコース
3方向からの撮影で超早期(5mm以下)の病変を見逃しません。
マルチスライスCTは単純レントゲンでは発見できない「5mm以下の微小病変の描出」と「3方向の画像構成」で超早期の肺がんの診断が可能です。
![]() |
|
![]() |
![]() |
検査内容
¥176,000(税込)
お申込み期間:2026年6月末日まで
乳がんMRIコース
着衣のまま乳房を圧迫しない乳がん検査
- Tシャツを着たままで撮影ができます。
- 乳房を圧迫しません。
- 従来のMRIマンモグラフィーのような造影剤は使用しません。
検査内容
¥176,000(税込)
お申込み期間:2026年6月末日まで







